Patient-focused care
With over three decades of clinical expertise, TMM Studio Dentaire delivers precise, personalized treatments designed to restore function, comfort, and refined aesthetics.





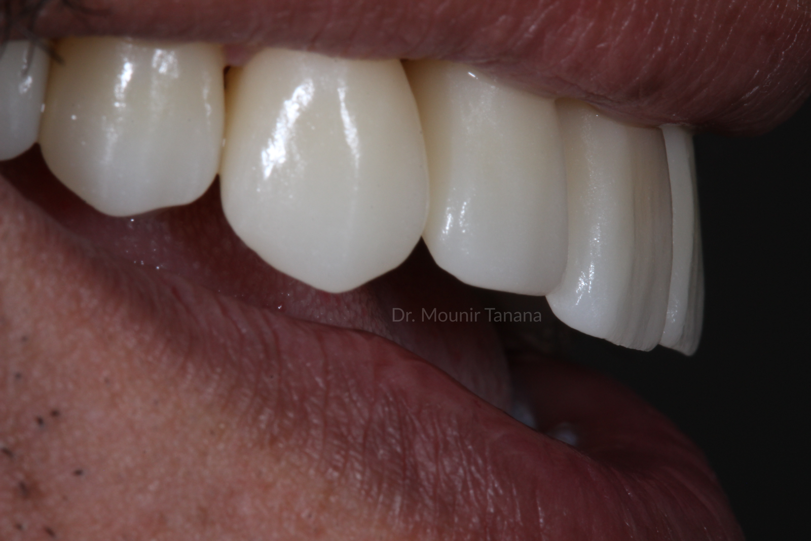
Before & After: Real Transformations
it’s about health, balance, and confidence.
















Faq
First orthodontic evaluation before age 7. This allows for early identification of skeletal imbalances or eruption problems.
If properly cared for, porcelain veneers can last 10 to 15 years or even longer.
With proper care, whitening results can last from a few months to a year or more.
In general, dental implant wearers get used to them easily because there are no obstacles that can interfere with the mouth, and they are as comfortable as natural teeth.
– If the tooth is damaged or broken and cannot be treated.
– If you have broken teeth.
– If your teeth are abnormally shaped or discolored.
– If a tooth cannot be restored due to tooth decay.
– To fill gaps between teeth (diastema).
– To improve the shape of “slate” teeth.
– To restore worn teeth.
– To harmonize differences in height and size between teeth.
TMM studio dentaire
Dr. mounir tanana
contact@tananastudiodentaire.com
© 2026 Dr. Mounir Tanana. all rights reserved. privacy policy. accessibility \ Website developed by Marketing Aiders